O que é Tendinite Calcária?

A tendinite calcária é uma doença que afeta geralmente mulheres na faixa etária em 30-60 anos de idade. Os sintomas dolorosos são bem exuberantes e o paciente pode procurar a emergência devido a fortes crises de dor.
É uma doença auto-limitada e que costuma resolver espontaneamente, contudo, o período de formação das calcificações até sua reabsorção é variável no tempo e na apresentação dos sintomas. Porém, há casos em que a calcificação não reabsorve e o paciente evolui com dor crônica intensa no ombro.
Histologicamente, ocorre uma metaplasia tecidual, ou seja, transformação de tecido sadio em tecido ocupado por calcificações.
Tendinite Calcária do Ombro: Causas, Sintomas e Tratamentos
A tendinite calcária do ombro é uma condição comum e dolorosa que afeta muitas pessoas, principalmente aquelas que praticam atividades físicas repetitivas ou que têm histórico de lesões no ombro. Nessa condição, depósitos de cálcio se acumulam nos tendões do ombro, causando inflamação e dor intensa.
O Que é a Tendinite Calcária do Ombro?
Em princípio, a tendinite calcária do ombro ocorre quando cristais de cálcio se acumulam nos tendões do manguito rotador. Esse depósito pode ser desencadeado por uma lesão anterior ou pode ocorrer de forma espontânea, sem causa aparente. Em alguns casos, a condição é assintomática, mas, frequentemente, ela é acompanhada por dor súbita de forte intensidade acompanhada de limitação de movimento.
Causas da Tendinite Calcária
Embora as causas exatas da tendinite calcária não sejam completamente compreendidas, acredita-se que fatores como o envelhecimento, lesões repetitivas e doenças metabólicas estejam entre os principais responsáveis. As lesões repetitivas no ombro, por exemplo, comuns em atletas e trabalhadores que realizam movimentos de elevação constante, podem aumentar o risco de formação de depósitos de cálcio nos tendões.
Sintomas Comuns
Os sintomas da tendinite calcária do ombro podem variar de leves a severos. Entre os mais comuns, destacam-se:
– Dor intensa no ombro, principalmente movimentar mover o braço
– Dificuldade para levantar o braço bem como realizar movimentos acima da cabeça
– Inchaço e sensibilidade na área afetada
– Rigidez no ombro, geralmente pela manhã ou após longos períodos de inatividade
Diagnóstico da Tendinite Calcária
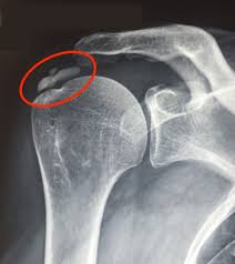
O diagnóstico é realizado por meio de exames clínicos e imagens, como a radiografia, ultrassonografia ou a ressonância magnética, por exemplo. Dessa maneira, estes exames ajudam a visualizar os depósitos de cálcio nos tendões e a avaliar a gravidade da inflamação.
Tratamentos para Tendinite Calcária do Ombro
O tratamento da tendinite calcária do ombro depende da gravidade dos sintomas e da resposta do paciente a tratamentos conservadores. Entre as opções mais comuns, estão:
- Medicamentos anti-inflamatórios: para aliviar a dor e a inflamação.
- Fisioterapia: Técnicas específicas de fisioterapia podem ajudar a melhorar a mobilidade do ombro e reduzir a dor.
- Infiltração por ultrassom: Podem ser administradas para controlar a inflamação e proporcionar alívio rápido.
- Barbotagem guiada por ultrassom: São realizadas perfurações no depósito de cálcio de forma a descomprimir a coleção cálcica e aliviar a dor.
- Terapia de ondas de choque: Uma opção eficaz para dissolver os depósitos de cálcio em alguns casos, sem dúvidas.
- Cirurgia: Às vezes, quando os tratamentos não são eficazes, a remoção dos depósitos de cálcio pode ser necessária por meio de cirurgia.
Conclusão
Em suma, a tendinite calcária do ombro é uma condição que pode ser tratada com sucesso quando diagnosticada corretamente. Nesse sentido, se você está experienciando dores persistentes no ombro ou dificuldades de movimento, é fundamental procurar ajuda médica. Acima de tudo, quanto mais cedo a condição for tratada, maiores serão as chances de uma recuperação completa e sem complicações.
A partir de agora, agende já uma consulta com ortopedista especializado e com experiência no assunto!
Referências
- NAKANISHI, K. et al. Calcific Tendinitis of the Shoulder: Pathogenesis and Treatment. Journal of Shoulder and Elbow Surgery*, v. 23, n. 10, p. 1461-1470, 2014. DOI: 10.1016/j.jse.2014.06.001.
- MOLÉ, D. et al. Management of Calcific Tendonitis of the Shoulder: Current Concepts. Orthopaedic Journal of Sports Medicine*, v. 4, n. 6, p. 1-8, 2016. DOI: 10.1177/2325967116644697.
- WANG, C. J. et al. Extracorporeal Shock Wave Therapy for Calcific Tendinitis of the Shoulder: A Systematic Review and Meta-Analysis. Clinical Orthopaedics and Related Research, v. 470, n. 8, p. 2110-2117, 2012. DOI: 10.1007/s11999-012-2463-7.
- ESPINOSA, N. et al. The Natural History of Calcific Tendonitis of the Shoulder. Journal of Shoulder and Elbow Surgery, v. 24, n. 1, p. 1-9, 2015. DOI: 10.1016/j.jse.2014.06.015.
- O’NEILL, B. et al. Surgical Treatment of Calcific Tendonitis of the Shoulder: Arthroscopic vs Open Surgery. American Journal of Sports Medicine, v. 46, n. 12, p. 2936-2942, 2018. DOI: 10.1177/0363546518800650.
- RĂDULESCU, M. et al. A Study of the Efficacy of Ultrasound-Guided Needling for the Treatment of Calcific Tendonitis of the Shoulder. Journal of Orthopaedic Science, v. 24, n. 3, p. 478-483, 2019. DOI: 10.1016/j.jos.2018.11.004.